fbpx
240 East 64th Street, New York, NY 10065

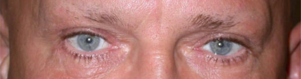
Blepharoplasty Photos - Case #2139

Patient Case #2139

Upper and Lower Blepharoplasty before and after provided this patient with comprehensive eyelid lift surgery and a revitalized eye area contour, achieving a more vibrant gaze.

Procedure: Eyelid Lift Surgery

Before
Blepharoplasty
After
Blepharoplasty
American Academy of Ophthalmology Joint Commission (JC) American Society for Laser Medicine and Surgery (ASLMS) American Academy of Cosmetic Surgery (AACS) American Society of Cataract & Refractive Surgery (ASCRS)
240 East 64th Street New York, NY 10065

    Contact Us